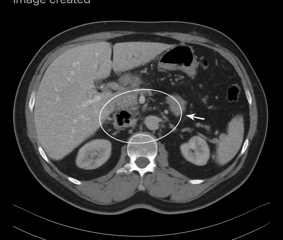
35 year old man with epigastric pain
uiowa
Published on Oct 19, 2025
HOW WILL YOU MANAGE THIS CASE OF ACUTE PANCREATITIS?
MCQ 1: When should contrast-enhanced CT be obtained in acute pancreatitis?
A. Immediately upon diagnosis
B. Only in mild disease to confirm
C. If moderate/severe disease or clinical worsening ≥72 hours after presentation
D. Routinely on day 2 for all patients
✅ Correct Answer: C. If moderate/severe disease or clinical worsening ≥72 hours after presentation
Explanation: Early CT may underestimate necrosis. Imaging is reserved for deterioration or unclear diagnosis after 72 hours.
MCQ 2 :Infected Necrosis Management
In a patient with necrotizing pancreatitis who develops fever and leukocytosis after 7 days, the best next step is:
A. CT-guided FNA for culture
B. Immediate open necrosectomy
C. Empiric antibiotics for suspected infected necrosis
D. Early parenteral nutrition
✅ Correct Answer: C. Empiric antibiotics for suspected infected necrosis
Explanation: Empiric antibiotics are preferred initially (Grade 2C). Intervention (drainage/debridement) is delayed ≥2–4 weeks to allow walling off.
MCQ 3: Timing of Necrosectomy When is intervention (drainage or debridement) ideally performed in infected necrosis?
A. Within 24 hours of fever onset
B. Within 48 hours
C. After 2–4 weeks
D. Only if no infection
✅ Correct Answer: C. After 2–4 weeks
Explanation: Delaying intervention allows necrosis to become walled-off, making minimally invasive approaches safer and more effective
UPTODATE REFERENCE
https://www.emedtube.com/d/2041858580/Medical-Management-Necrotizing-Pancreatitis-Colored

